MTM |Prevenzione del riassorbimento crestale post-trattamento
L’agenesia viene definita come la mancanza di uno o più denti, decidui o permanenti.
Nella maggior parte dei casi i denti mancanti sono gli incisivi laterali superiori, i secondi premolari o i denti del giudizio.
Per risolvere i problemi generati dalle agenesie, esistono diverse alternative terapeutiche che andranno modulate a seconda della situazione clinica.
In seguito, un caso clinico di come sia possibile risolvere i problemi prodotti dall’agenesia associata a microdontia ed usura dei denti ed elementi conoidi.
1. Tipologia risoluzione
Impianti in osso stabilizzato_MTM # 1.2 e # 2.2
2. Storia Clinica



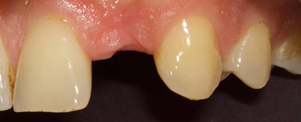
Le immagini pre-operatorie ed il rendering della CBCT mostrano il rilevante deficit tissutale orizzontale e la presenza di considerevoli recessi buccali.

3. Diagnosi e prognosi
Il biotipo parodontale sottile è associato ad una linea del sorriso alta ed alla atrofia del piatto osseo buccale nei siti # 1.2 e # 2.2 rendono complesso il trattamento.
Le immagini cliniche e le sezioni CBCT evidenziano il deficit tissutale orizzontale associato alla presenza di notevoli recessi della pre-maxilla sia nel sito #1.2 (Fig. 5/8) che nel sito #2.2 (Fig. 9/12).








Classe deficit crestale
All’esame clinico risulta un deficit crestale:
- C/severa secondo la classificazione di Seibert e Allen
- C4 secondo la classificazione di Cawood e Howell.


4. Motivazione
- Evitare
Le protesi rimovibili
La soluzione con ponti Maryland
Protesi fisse che coinvolgano gli elementi naturali adiacenti alla lacuna edentula
Potrebbe interesarvi: AGENESIA DENTALE: MALOCCLUSIONE, IMPIANTO, CORONE IN CERAMICA, FACCETTE E MICRODONZI
5. Aspettative
- Sicurezza
- Mimesi estetica
- Funzionalità
- Affidabilità a lungo termine
6. Obiettivi terapeutici
- Determinare l’ancoraggio per la restaurazione fissa degli elementi #1.2, #2.2
- Compensare il riassorbimento tissutale secondario alla agenesia degli elementi
- Creare l’anatomia ideale per alloggiare e mimetizzare il dispositivo protesico
- Prevenire il riassorbimento post-trattamento.
7. Sinossi del piano di trattamento


La compensazione protesica dei deficit tissutali secondari è affidata al management tissutale morfogenico secondario.
In questo caso al pilastro in titanio individualizzato con connessione conforme al diametro implantare, sezione cilindrica e raccordo ad “I” che influenza le papille interprossimali; le parabole gengivali; la posizione dello zenith e le vie di deflusso interprossimali.


Il management tissutale morfogenico terziario è guidato dalla morfologia della restaurazione protesica su impianto ed a quelle contigue.
Le manovre fisioterapiche influenzano la morfologia finale e la tessitura di superfice dei tessuti periimplantari stabilizzando e migliorando gli effetti del management primario e secondario.



- Inserimento impianti #1.2, #2.2
- Corone in ceramica fusa su armatura in lega aurea #1.2, #2.2
- Veneer in ceramica feldspatica su #1.1 e #2.1
8. Risorse terapeutiche
Rigenerazione tissutale ossea
- MBS
Rigenerazione tissutale muco-gengivale
- Lembo riposizionato orizzontalmente
- MTM


MTM
9. Inizio terapie
- Giugno 2013
10. Piano di trattamento iniziale
Programma di igiene professionale.
11. Classe deficit crestale
All’esame clinico risulta un deficit crestale:
- C/severo secondo la classificazione di Seibert e Allen
- C4 secondo la classificazione di Cawood e Howell.
12. MTM primario
Obiettivi
- Determinare l’ancoraggio protesico
- Iper compensare i deficit osteo-muco-gengivali orizzontali e verticali
Risorse terapeutiche utilizzate (MTM)
Il posizionamento degli impianti in siti stabilizzati in cui la quantità e la qualità dei tessuti cheratinizzati è apprezzabile rende predicibile la risposta tissutale alle manovre chirurgiche e favorisce la prognosi.
La compensazione chirurgica dei deficit tissutali primari, contestuale all’inserimento dell’impianto, è ottenuta tramite la tecnica chirurgica MSC.
Il “riposizionamento orizzontale” del COMG determina l’incremento del tessuto gengivale contestuale alla rigenerazione ossea, l’iper-correzione del sito ed ottimizza il risultato chirurgico creando le migliori premesse per le successive fasi protesiche.
L’assenza del bundle bone garantisce la stabilità a lungo termine delle procedure rigenerative
13. Valutazione obiettivi intermedi
- Volumi tissutali post-chirurgici verticali: iper corretti
- Volumi tissutali post-chirurgici orizzontali: normo-corretti
- Discrepanze posizionali implantari su due piani dello spazio.
14. MTM secondario e connessione protesica
Obiettivi
- Fornire ritenzione al dispositivo protesico
- Compensare le distonie posizionali dell’impianto
- Ripristinare:
– Le papille interprossimali armoniche al contesto anatomico.
– Le parabole gengivali armoniche al contesto anatomico.
– I zenith gengivali armonici al contesto anatomico.
– E le vie di deflusso interprossimali armoniche al contesto anatomico.
Risorse terapeutiche utilizzate
La compensazione protesica dei deficit tissutali secondari è affidata al management tissutale morfogenico secondario.
In questo caso alle corone connesse, tramite cementazione, ai pilastri in titanio individualizzati con connessione conforme al diametro implantare, sezione cilindrica e raccordo ad “I” ed alle restaurazioni protesiche che influenzeranno le papille interprossimali; le parabole gengivali; la posizione dello zenith e le vie di deflusso interprossimali.
15. MTM terziario
Obiettivi
Il management tissutale morfogenico terziario, mediante le manovre fisioterapiche, completa gli effetti del management primario e secondario influenzando la morfologia finale e la tessitura di superfice dei tessuti periimplantari allo scopo di migliorare l’anatomia delle:
- Papille interprossimali.
- Parabole gengivali.
- Die di deflusso interprossimali.
- Degli zenith gengivali.
- E stabilizzare l’anatomia dei tessuti marginali
Risorse terapeutiche utilizzate
- Accoppiamento protesico morfogenico
- Igiene orale domiciliare
- Fisioterapia (Tecnica di Stillman modificata)
- Igiene orale professionale
- Tempo
16. Termine terapie
- Novembre 2013
MTM






17. Tempi operativi complessivi
- 4,5 mesi


