Cosa sono le agenesie dentali?
L’agenesia costituisce una delle più comuni anomalie dentali.
Il termine agenesia dentale definisce la mancanza genetica di uno o più denti decidui o permanenti.
Nella maggior parte dei casi i denti assenti sono gli incisivi laterali superiori, i secondi premolari ed i denti del giudizio.
Oltre alle implicazioni estetiche le agenesie possono generare problemi di masticazione, fonazione, malocclusione e/o affollamento dentale poiché i denti vicini alle lacune edentule tendono ad occupare lo spazio vuoto ruotando e/o spostandosi. Per risolvere i problemi generati dalle agenesie, esistono diverse alternative terapeutiche che andranno modulate a seconda della situazione clinica.
Cause dell’assenza congenita di uno o più denti
Le cause sono multifattoriali, legate a fattori genetici ed ambientali che generano un’alterazione nei processi di sviluppo dentale.
Quando può (deve) essere effettuata la diagnosi per agenesia dentale?
È possibile diagnosticare le agenesie dentali già dall’età di 6-7 anni mediante una radiografia ortopanoramica che permette di verificare se, al di sotto della dentatura decidua, ci siano le gemme dei denti permanenti.
Una diagnosi precoce consente di programmare per tempo e con razionalità le future terapie ed ottimizzare i risultati del trattamento.
Case report
Storia clinica di una paziente con agenesie dentali
Questa giovane paziente di 30 anni era stata trattata ortodonticamente, precedentemente ed altrove, con risultati obiettivamente poco soddisfacenti. In particolare la traslazione del canino superiore sinistro in posizione di laterale pur chiudendo gli spazi ha creato un problema estetico di asimmetria che, per questa particolare paziente, costituisce un rilevante problema.


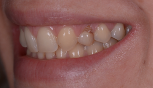
Problemi clinici riscontrati nella paziente con agenesia dentale
Agenesia dell’incisivo laterale superiore sinistro.
Canino da latte con estese lesioni cariose e riassorbimento pressoché completo della radice.
Il canino superiore sinistro permanente occupa la posizione del laterale.
Estetica dentale: Asimmetria del sorriso.

Problemi percepiti dalla paziente con agenesia dentale
Sensibilità termica prodotta dalle estese lesioni cariose sul canino da latte.
Disagio per l’estetica del sorriso alterata dal colore dei denti, dalla malposizione del canino permanente con dimensioni e forme che esaltano l’asimmetria della dentatura durante la vita di relazione e dalla permanenza in situ del dente da latte.

Piano di trattamento
Sbiancamento dentale.
Trasformazione del canino in incisivo laterale mediante una camouflage diretto in materiale composito.
Estrazione del canino deciduo.
Inserimento di un impianto osteointegrato e di una corona in ceramica per sostituire il dente.

Tempo totale del trattamento
Tre mesi e mezzo
Considerazioni terapeutiche
I siti in cui non è presente il dente permanente sono, quasi costantemente associati ad una scarsa quantità di osso alveolare.
Il trattamento implantare richiede quindi, molto spesso, l’applicazione di tecniche rigenerative che permettono di ricostruire l’anatomia ossea ideale per ottenere un risultato funzionale ed estetico soddisfacente e stabile nel tempo.
In questo caso è stato utilizzato l’originale approccio minimamente invasivo Morphogenic Tissue Management (No membrane ne innesti di osso, un solo intervento chirurgico).


Dettagli della situazione post-operatoria dopo quattro anni dal completamento delle terapie.
