Skip to content Skip to footer

Carie dentali

Carie dentali, quando e perché compaiono

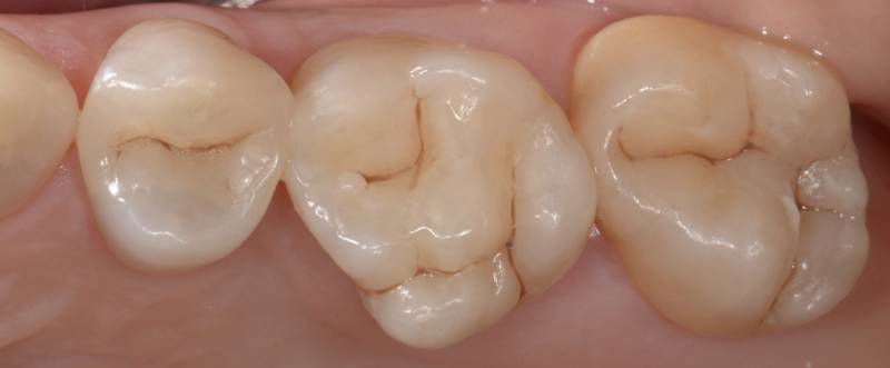
La carie è una delle patologie più diffuse a livello mondiale. Le lesioni cariose iniziano dalla superficie esterna del dente ed evolvono in profondità verso la polpa dentale. 

Le carie sono più comuni tra i bambini e nell’età puberale, tuttavia, i cambiamenti che si verificano con l’invecchiamento rendono la carie diffusa anche fra gli adulti.

È, infatti, abbastanza frequente che le persone intorno ai 50 anni sviluppino carie radicolari (della radice dei denti) poiché le recessioni gengivali, correlate ad una maggiore incidenza di malattie gengivali, espongono le radici dentali all’azione cariogena della placca batterica.

Le radici dei denti sono ricoperte di cemento, un tessuto più vulnerabile dello smalto e, quindi, maggiormente suscettibile alla decalcificazione indotta dalla placca batterica; le radici sono, inoltre, più sensibili al tatto, al caldo ed al freddo.

Cause

La carie è l’effetto di un processo degenerativo innescato dagli acidi prodotti dai batteri presenti nel cavo orale associato a cattive abitudini alimentari e/o ad insufficiente, o inefficiente, igiene orale.

Sintomi

I denti maggiormente colpiti sono i molari, i premolari e gli incisivi superiori. Quando il processo è in fase avanzata compare il sintomo principale rappresentato dal dolore, chiamato “pulpite” in quanto generato dall’infiammazione della polpa dentale infettata dai batteri.

calesini-carie-galleria3

Diagnosi

Le carie dovrebbero essere intercettate precocemente dal dentista o dall’igienista durante le visite periodiche. La diagnosi precoce riduce l’entità dell’intervento restaurativo e rende più longeva la restaurazione effettuata.